-
WEB予約の注意事項
- WEB予約にて希望日が“×”の場合でも、空いている場合がございますので、その際はお電話にてお問い合わせください。
- 最初に問診票の記入とカウンセリングがありますので、予約時間の15分前にお越しください。
- 初診の方のみWEB予約を受け付けております。
- 2回目以降の受診で予約されたい方はお電話でのご予約をお願いいたします。
- MENU
-
WEB予約の注意事項
- WEB予約にて希望日が“×”の場合でも、空いている場合がございますので、
その際はお電話にてお問い合わせください。
- 最初に問診票の記入とカウンセリングがありますので、予約時間の15分前にお越しください。
- 初診の方のみWEB予約を受け付けております。
- 2回目以降の受診で予約されたい方はお電話でのご予約をお願いいたします。
-
ホーム
-
セラミック治療症例
セラミック治療症例
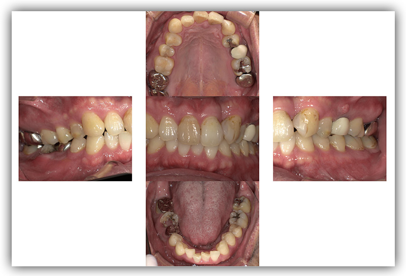
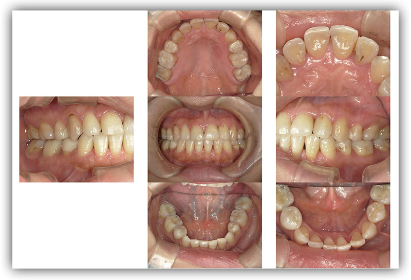
CASE_01
50代女性 セラミック治療(ジルコニア)
- 患者さん情報(年齢・性別)
- 50代 女性
- 主訴
- 銀歯をいれているところをセラミックにしたい。(見た目を良くしたい、今後むし歯になるリスクを減らしたい)
- 治療箇所
- 11箇所
- 治療方法
- セラミック治療(ジルコニア)
- 費用
- 約84万円
- 治療期間
- 約1年6か月
- その治療によるリスク・副作用
-
- 患者様の声

CASE_02
40代男性 セラミック治療
- 患者さん情報(年齢・性別)
- 40代 男性
- 主訴
- 歯を長持ちさせたい。先のことを考えて材質を相談したい。
- 治療箇所
- 9箇所
- 治療方法
- セラミック治療
- 費用
- 約73万円
- 治療期間
- 約半年
- その治療によるリスク・副作用
-
- 患者様の声
