-
WEB予約の注意事項
- WEB予約にて希望日が“×”の場合でも、空いている場合がございますので、その際はお電話にてお問い合わせください。
- 最初に問診票の記入とカウンセリングがありますので、予約時間の15分前にお越しください。
- 初診の方のみWEB予約を受け付けております。
- 2回目以降の受診で予約されたい方はお電話でのご予約をお願いいたします。
- MENU
-
WEB予約の注意事項
- WEB予約にて希望日が“×”の場合でも、空いている場合がございますので、
その際はお電話にてお問い合わせください。
- 最初に問診票の記入とカウンセリングがありますので、予約時間の15分前にお越しください。
- 初診の方のみWEB予約を受け付けております。
- 2回目以降の受診で予約されたい方はお電話でのご予約をお願いいたします。
-
ホーム
-
インプラント症例
インプラント症例
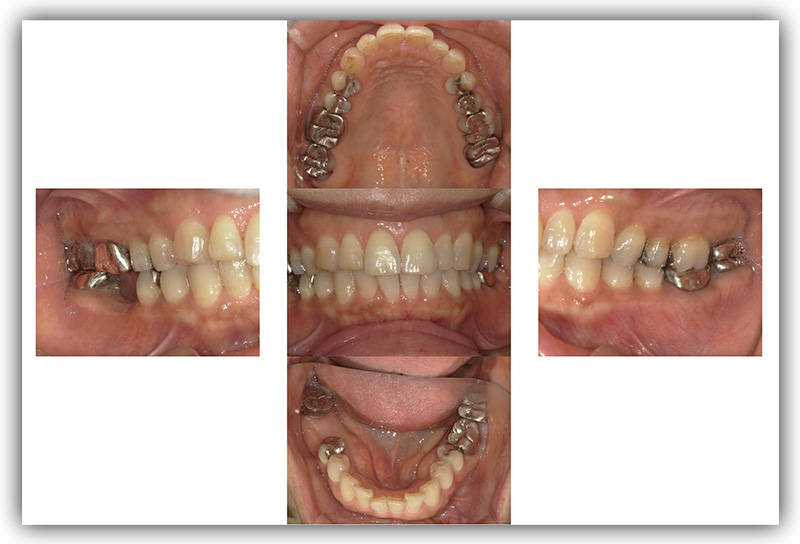
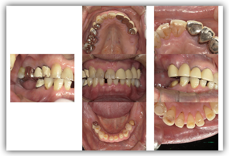
CASE_01
70代男性(インプラント)
- 患者さん情報(年齢・性別)
- 70代 男性
- 主訴
- 歯を失ってしまったところにインプラントに入れたい
- 治療箇所
- 7箇所
- 治療方法
- インプラント
- 費用
- 約320万円
- 治療期間
- 約1年
- その治療によるリスク・副作用
-
- 患者様の声

CASE_02
60代男性(インプラント)
- 患者さん情報(年齢・性別)
- 60代 男性
- 主訴
- 被せものが外れたところをインプラントにしたい
- 治療箇所
- 2箇所
- 治療方法
- インプラント
- 費用
- 約86万円
- 治療期間
- 約半年
- その治療によるリスク・副作用
-
- 患者様の声

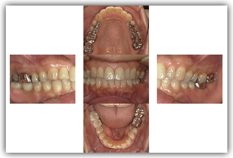
CASE_03
40代女性(インプラント)
- 患者さん情報(年齢・性別)
- 40代 女性
- 主訴
- 被せものをインプラントにしたい
- 治療箇所
- 2箇所
- 治療方法
- インプラント
- 費用
- 84万円
- 治療期間
- 約半年
- その治療によるリスク・副作用
-
- 患者様の声

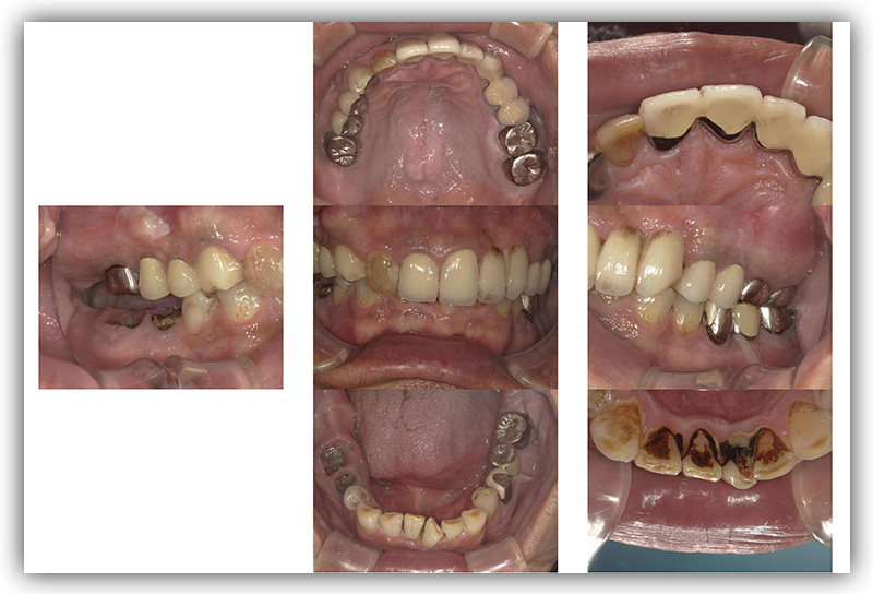
CASE_04
60代女性(インプラント)
- 患者さん情報(年齢・性別)
- 60代 女性
- 主訴
- 左下のインプラントを考えているが、怖い
- 治療箇所
- インプラント1箇所、セラミック3箇所
- 治療方法
- インプラント、セラミック治療
- 費用
- インプラント42.9万円、セラミック治療約24万円
- 治療期間
- 約1年6か月
- その治療によるリスク・副作用
-
- 患者様の声
